Rejuvenecimiento dental

Rejuvenecimiento dental
Muchas personas se quejan de que su sonrisa está “envejecida”. ¡Es increíble el efecto que produce sobre una sonrisa la reposición de los dientes!

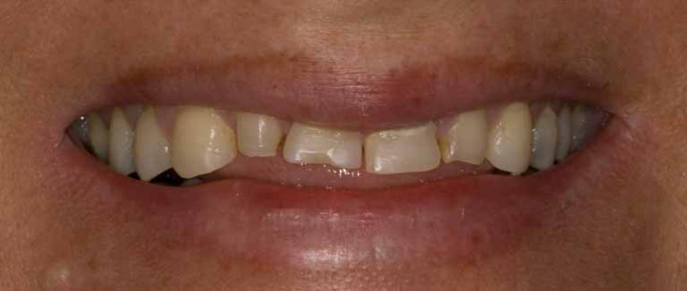
Este aspecto suele ser debido a problemas de color, grandes desgastes que dan lugar a dientes pequeños, malposiciones, dientes rotos… Esta paciente presentaba un gran desgaste en los dientes superiores, y que daba lugar a lo que se denomina “sonrisa invertida”: los caninos se ven más largos que los centrales (foto 1). Se le recomendó, dada la situación de los dientes, blanqueamiento y coronas de zirconio en los dientes superiores (año 2009). Sonrisa de la paciente 6 años después (foto 2)

Posted in Casos clínicos, Rejuvenecimiento Dental

Deja una respuesta

banner

© Rosapulgar 2024. Copyright. Aviso legal | Politica de cookies | Politica de privacidad