Rejuvenecimiento dental 2

Rejuvenecimiento dental 2
Una sonrisa envejecida no resulta estética.

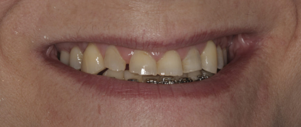
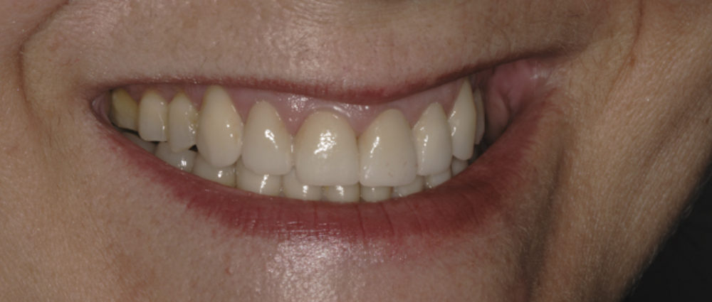
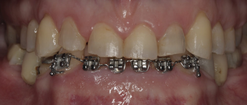
La paciente presentaba una sonrisa muy envejecida que no le gustaba (foto 1). Presentaba dientes pequeños y desgastados (foto 2). Tras realizar un tratamiento ortodóncico preparatorio, se colocaron coronas de zirconio (totalmente cerámicas) en maxilar superior e inferior. Situación a los cuatro años del tratamiento (foto 3 y 4).

Posted in Casos clínicos, Rejuvenecimiento Dental

Deja una respuesta

banner

© Rosapulgar 2024. Copyright. Aviso legal | Politica de cookies | Politica de privacidad