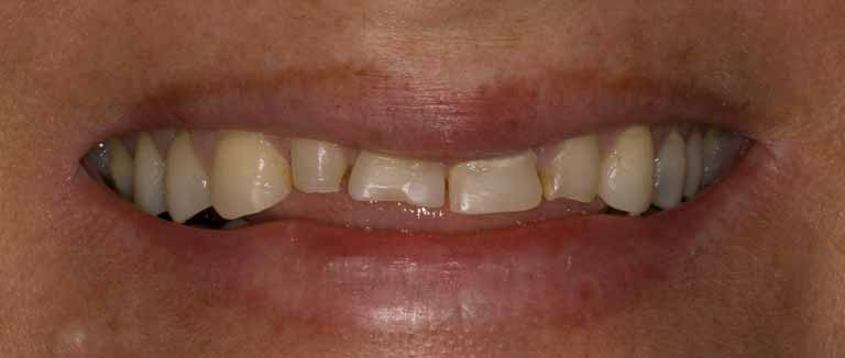
Rejuvenecimiento dental 2 Posted on abril 16, 2018abril 16, 2018 by Manuel Posted in Casos clínicos, Rejuvenecimiento DentalLeave a Comment on Rejuvenecimiento dental 2
Rejuvenecimiento dental Posted on abril 16, 2018abril 16, 2018 by Manuel Posted in Casos clínicos, Rejuvenecimiento DentalLeave a Comment on Rejuvenecimiento dental