DIGITAL SMILE DESIGN

No hay nada más hermoso que una bonita sonrisa

¿No te gusta tu sonrisa? ¿Temes que te traten y luego no verte bien?

Con Digital Smile Design podemos “simular” cómo quedarías con un tratamiento estético sin tocar tus dientes! Puedes ver “a priori” el resultado estético.

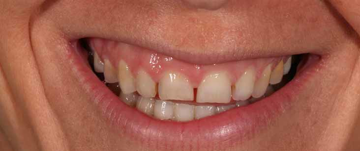
El DSD (Digital Smile Desing) es un procedimiento que permite diseñar una sonrisa. A partir de imágenes y videos del paciente (foto 1), se realiza un diseño digital de las futuras restauraciones, teniendo en cuenta las características de la cara del paciente, sus labios, encías y dientes. Se trata, por tanto, de un diseño totalmente personalizado.

Antes
Despues

¿Necesita más información?

Contacta con nosotros y nuestro equipo de profesionales contactará lo antes posible con usted

Proceso de Diseño y Simulación de la Sonrisa

Primero el dentista diseña en el ordenador cómo serián los dientes que harían más bonita la sonrisa (foto 2). Luego el laboratorio los realiza en cera, sobre el modelo de escayola (wax-up), tal como se han diseñado digitalmente. Finalmente, mediante un procedimiento denominado “mock up” se reproduce, directamente en la boca del paciente, una simulación provisional en resina de las restauraciones propuestas (foto 3). El paciente puede ver en directo si le gusta antes de decidir.

Con esta técnica podemos ver cómo va a quedar estéticamente el plan de tratamiento propuesto, analizar el resultado y hacer las correcciones que, tanto el paciente como el dentista, planteen.

banner

© Rosapulgar 2024. Copyright. Aviso legal | Politica de cookies | Politica de privacidad