Escultura dental. Carillas de composite

Escultura dental. Carillas de composite
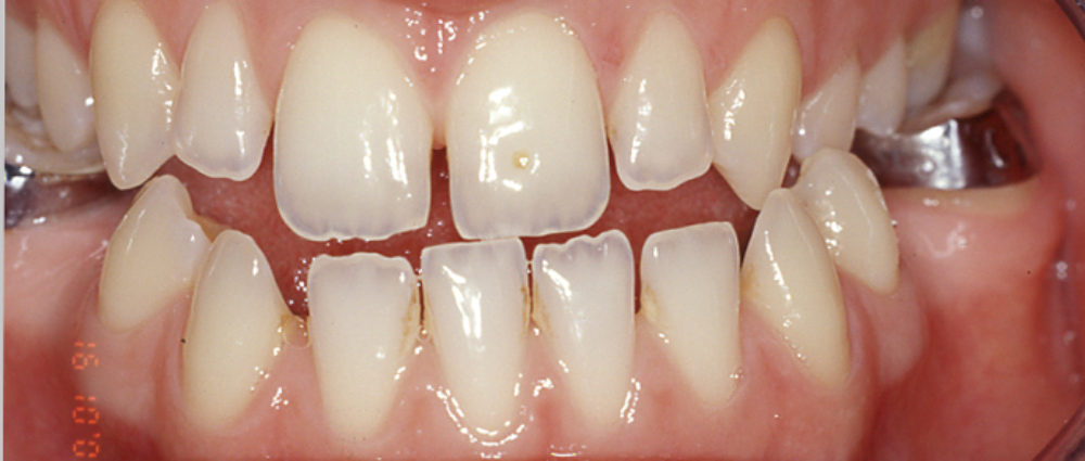
Dientes mal posicionados.

La paciente vino a la consulta en 2002 porque no le gustaba su sonrisa. Tratamiento ortodóncico previo sin gran éxito. Presentaba asimetría facial y también grandes asimetrías en su sonrisa (foto 1). Tras estudiar el caso, se diagnosticó asimetría condilar, es decir, su mandíbula izquierda era más corta que la derecha. Esa era la causa de las asimetrías faciales y orales, por lo que precisaba cirugía ortognática (foto 2). Sin embargo, la paciente rechazó la cirugía, y nos pidió que realizáramos un tratamiento restaurador reversible (por si se planteaba la cirugía alguna vez) para mejorar la sonrisa. Se le realizaron carillas de composite en los incisivos. Estado de las carillas en 2010 tras ocho años de uso (foto 3).

Posted in Casos clínicos, Dientes mal posicionados

Deja una respuesta

banner

© Rosapulgar 2024. Copyright. Aviso legal | Politica de cookies | Politica de privacidad