Dientes apiñados. Ortodoncia

Dientes apiñados. Ortodoncia
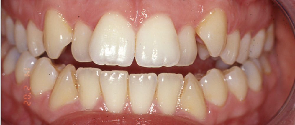
Los dientes malposicionados dan lugar a una sonrisa poco estética

La situación de cada paciente es diferente por lo que la solución debe ser siempre individualizada. Este caso fue tratado en 2002. Presentaba dientes malposicionados (apiñamiento) y mordida abierta anterior (foto 1 y 2). Se recomendó ortodoncia para la corrección de estos problemas ya que era el tratamiento más conservador posible. Tras concluir el tratamiento y realizar blanqueamiento dental (foto 3).

Situación a los 12 años (foto 4). Estabilidad de los resultados obtenidos, incluso en el color de los dientes. Obsérvese las pequeñas manchas blancas en los incisivos. Son pequeñas lesiones de caries debidas a la malaposición inicial presentes en el 2002. Con un buen control por parte del paciente y seguimiento, permanecen estables tras 12 años (Odontología de Mínima Intervención. Control de caries).

Posted in Casos clínicos, Dientes mal posicionados

Deja una respuesta

banner

© Rosapulgar 2024. Copyright. Aviso legal | Politica de cookies | Politica de privacidad