Carillas cerámicas

Carillas cerámicas
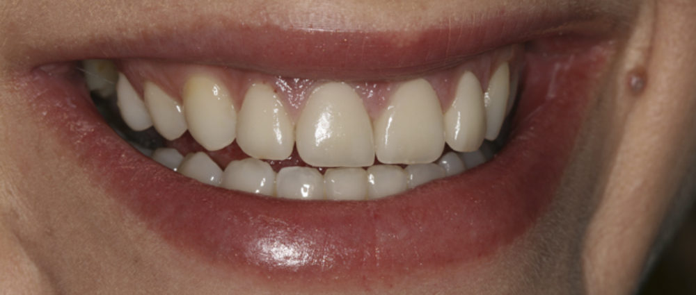
Una de las soluciones más conservadoras: sin “tocar” el diente

Las carillas de cerámica son una solucion ultraconservadora que permite reponer el diente perdido sin necesidad de tallar el que queda. En este caso, la paciente presentaba dientes separados, cortos y se veía más encía de lo que una sonrisa bonita exige (foto 1). Se realizó ligera gingivectomía (remodelado de encías) y carillas cerámicas en los cuatro incisivos superiores (foto 2). La foto 3 es a los ocho años de tratamiento

Posted in Carillas cerámicas, Casos clínicos

Deja una respuesta

banner

© Rosapulgar 2024. Copyright. Aviso legal | Politica de cookies | Politica de privacidad