Blanqueamiento dental. Tetraciclinas

Blanqueamiento dental. Tetraciclinas
A veces el problema, es que los dientes son muy oscuros.

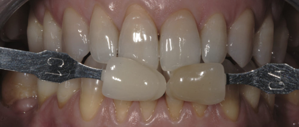
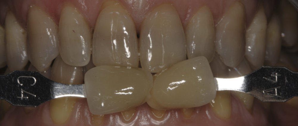
En este caso, el paciente presentaba tinción por tetraciclinas (foto 1). Sin duda, es la situación más compleja para conseguir un resultado satisfactorio. Sin embargo, el paciente deseaba un tratamiento conservador que no dañara sus dientes. Se le explicó que, en su situación, se produciría un “aclaramiento”. El paciente accedió. En estos casos, el blanqueamiento vital mejora la situación al aclarar el color dental (foto 2)

Posted in Blanqueamiento, Casos clínicos

Deja una respuesta

banner

© Rosapulgar 2024. Copyright. Aviso legal | Politica de cookies | Politica de privacidad