Prótesis sobre implante. Agenesia

Prótesis sobre implante. Agenesia
La ausencia de un diente por agenesia (ausencia) se puede solucionar con un implante osteointegrado.

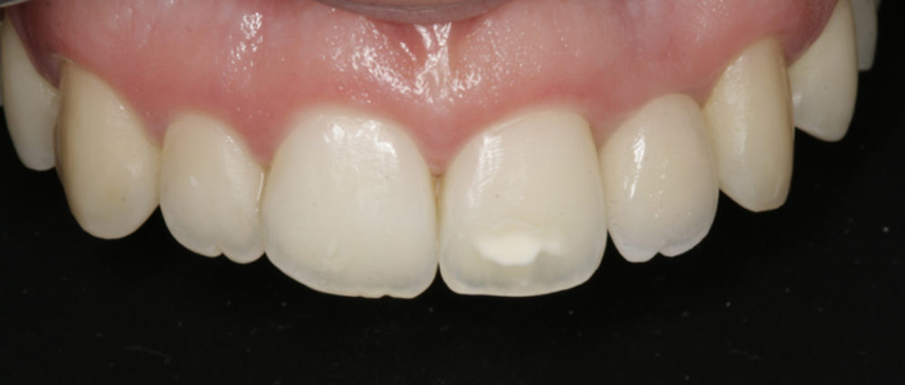
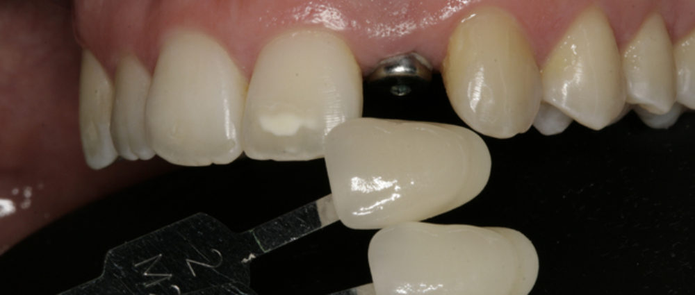
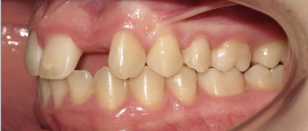
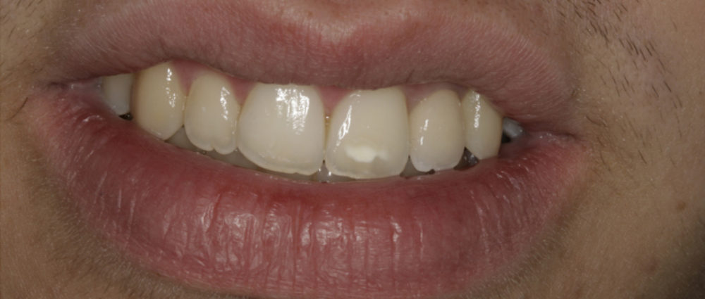
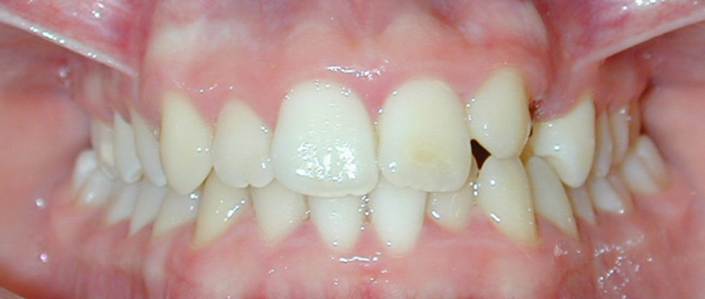
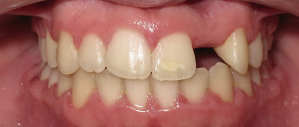
En este caso, el paciente sufría agenesia (ausencia) de un incisivo lateral y tenia el canino en posicion incorrecta (foto 1). Mediante ortodoncia, se reposicionó el canino (fotos 2 y 3) y a continuación se colocó implante en la posición del lateral (foto 4). Se colocó la corona cerámica sobre el implante (fotos 5 y 6)

Posted in Casos clínicos, Prótesis sobre implantes

Deja una respuesta

banner

© Rosapulgar 2024. Copyright. Aviso legal | Politica de cookies | Politica de privacidad