DSD. Carillas cerámicas

DSD. Carillas cerámicas
Con Digital Smile Desing, DSD, analizamos su caso y preparamos un “prototipo” de lo que serán las futuras carillas, coronas o la intervención que precise para que pueda comprobar cómo quedarían antes de iniciar el tratamiento definitivo

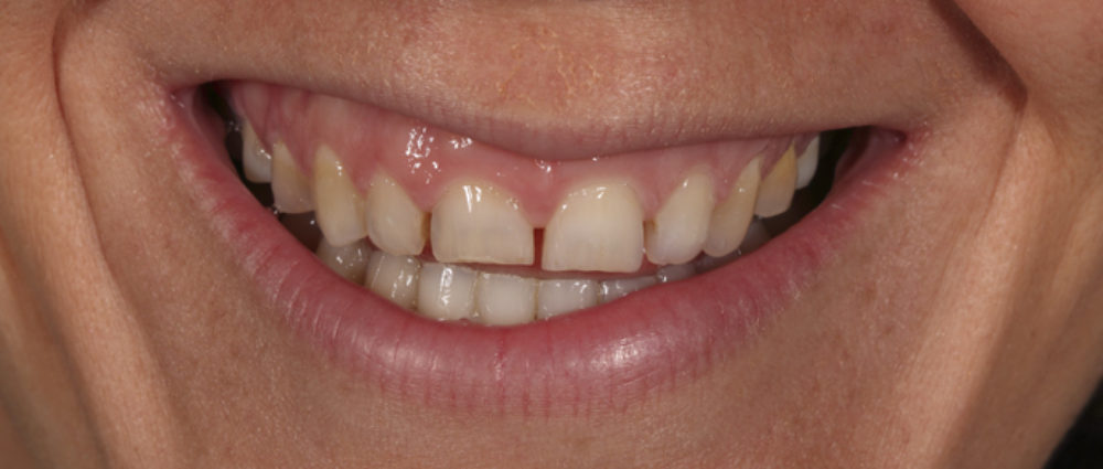
La paciente se había realizado ortodoncia y fue remitida por el ortodoncista para el tratamiento restaurador de su sonrisa. Sus dientes eran pequeños y deseaba que se mantuvieran sin tallarlos, con el tratamiento menos agresivo posible (foto 1). Se realizó un DSD para diseñar cómo debían ser sus dientes teniendo en cuenta sus caracteristicas faciales (foto 2). El laboratorio preparó el encerado (wax up) según el direño por ordenador y, a partir de él se realizó el mock up, restauraciones de resina para que la paciente pudiera valorar el resultado de nuestra propuesta (fotos 3 y 4). Teniendo en cuenta las observaciones que realizó la paciente, se planificó la realización de blanqueamiento, gingivectomias y carillas cerámicas.Tratamiento finalizado (foto 5)

Posted in Casos clínicos, DSD

Deja una respuesta

banner

© Rosapulgar 2024. Copyright. Aviso legal | Politica de cookies | Politica de privacidad