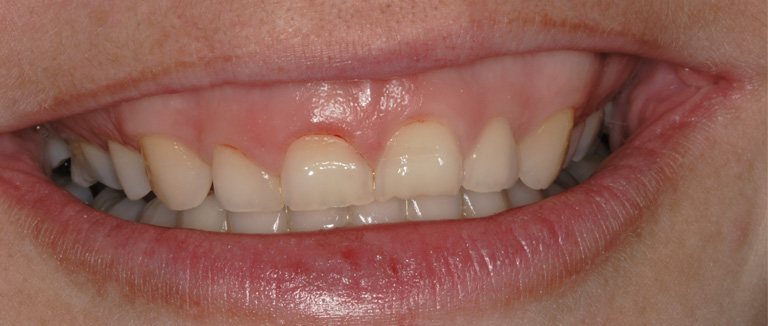
Exceso de encía: sonrisa gingival 2 Posted on abril 16, 2018 by Manuel Posted in Casos clínicos, Exceso de encíaLeave a Comment on Exceso de encía: sonrisa gingival 2
Exceso de encía: sonrisa gingival Posted on abril 16, 2018abril 16, 2018 by Manuel Posted in Casos clínicos, Exceso de encíaLeave a Comment on Exceso de encía: sonrisa gingival