CARILLAS DE COMPOSITE. ESCULTURA DENTAL

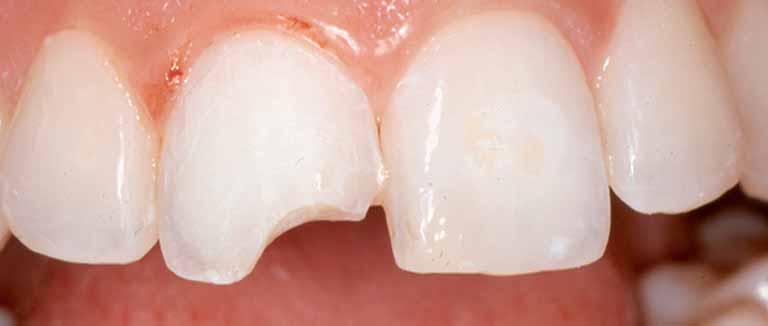
Los composites: los denominados “empastes blancos” Son materiales compuestos: una resina orgánica fotopolimerizable y relleno inorgánico con excelentes propiedades físico-mecánicas Este material se aplica, se modela y se endurece directamente sobre el diente al que se une gracias a un adhesivo especial Los modernos composites ofrecen un amplísimo rango de colores y niveles de translucidez, lo que permite conseguir restauraciones muy miméticas (invisibles) y altamente resistentes. Este sistema tiene la ventaja de que, en la mayor parte de los casos, se realiza sin necesidad de eliminar tejido dental Una opción de tratamiento es la Escultura Dental, en la que el dentista, mediante capas de composite e incluso, tintes, modela uno a uno los dientes anteriores cambiando su forma, tamaño, color, posición… Se pueden cerrar espacios entre dientes o los antiestéticos “espacios negros” que produce la enfermedad periodontal (piorrea). Es un trabajo delicado pero completamente indoloro y que tiene la ventaja de que se hace en una sola sesión y da lugar a una sonrisa completamente natural. El caso de la fotografía se realizó hace 25 años
//www.rosapulgar.com/wp-content/uploads/2018/04/8.jpg//www.rosapulgar.com/wp-content/uploads/2018/04/7.jpg
banner

© Rosapulgar 2024. Copyright. Aviso legal | Politica de cookies | Politica de privacidad