
El DSD (Digital Smile Desing) es un procedimiento que permite diseñar una sonrisa. A partir de imágenes y videos del paciente (foto 1), se realiza un diseño digital de las futuras restauraciones, teniendo en cuenta las características de la cara del paciente..

El color es uno de los componentes principales de una sonrisa bonita Dientes blancos son percibidos como sinónimo de salud, belleza, juventud. Mediante las modernas técnicas de blanqueamiento dental profesional podemos...

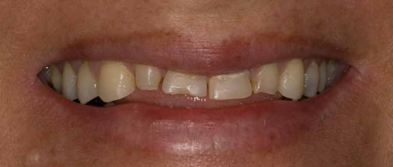
Hasta ahora, la única solución, en casos avanzados, era la colocación de fundas en toda la boca. Esta es una posibilidad. Pero, también existen otras alternativas más conservadoras que se basan en mantener lo que queda de diente...

Los modernos composites ofrecen un amplísimo rango de colores y niveles de translucidez, lo que permite conseguir restauraciones muy miméticas (invisibles) y altamente resistentes. Este sistema tiene la ventaja de...

Son finas láminas de cerámica que se colocan en la cara frontal del diente para cambiar su forma y/o sus dimensiones y su color con una mínima preparación. Otra ventaja de las carillas cerámicas son sus excepcionales cualidades...

Nuestra filosofía de trabajo nos lleva a mantener la dentición natural siempre que sea posible. Pero, a veces, no hay otra opción que reponer con implantes los dientes que se han perdido para restablecer el equilibrio funcional....
A veces es dificil entender en qué cosiste un tratamiento o cómo puede ser el resultado. Aqui puedes ver casos reales, realizados en nuestra consulta y, la mayoria de ellos, hace muchos años. Porque las cosas, si se hacen bien, funcionan. Las fotos son originales.